2026 and the Year of the Smile Transformation
We’re halfway through January now, and if one of your goals for this year was to improve your dental health, protect your teeth and improve your smile, here’s a friendly reminder to make sure it happens.
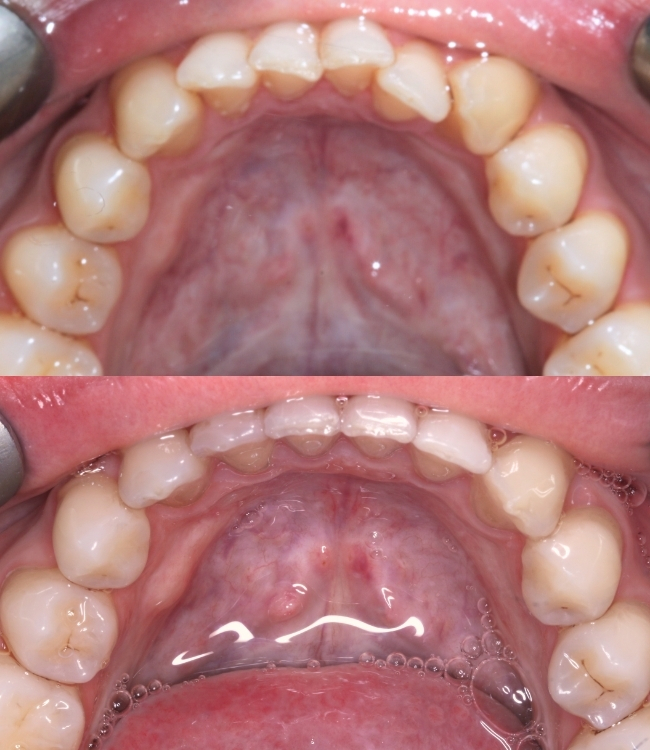
And to inspire you to take whatever action you need to take, I’m delighted to introduce our first Smile of the Month, demonstrating perfectly how improving your smile can also help protect your teeth.
The challenge – wear and crowding
Raul came to us with concerns around the wear and crowding in his lower front teeth, as well as the overall colour of his smile.
He wanted to reduce further tooth wear and improve the straightness, brightness, and function of his teeth so he could feel more confident about his smile.

The solution – Dr Minal’s masterplan
After a full assessment, Dr Minal Shah put together a simple, straightforward, step-by-step plan to to improve both the function and appearance of Raul’s teeth:
1. Fix the bite with Invisalign – to stop the front teeth from wearing down.
2. Straighten crowded teeth – to make them easier to clean and more even in appearance.
3. Whiten the teeth – to give Raul a brighter smile.
Raul wore his Invisalign aligners exactly as advised, which helped his treatment progress smoothly and at the desired rate, with the process taking just six months.

The result: Raul’s healthier, brighter smile
By the end of treatment Raul’s bite was improved, his teeth were straighter and more even and his smile looked brighter.
And from a long-term perspective, correcting his bite has helped protect his teeth from further wear.
Dental health was the main goal, and the final result looks fantastic too.

What was Raul’s experience like? We’re thrilled with Raul’s results and proud to have been part of his smile journey, and it’s fair to say that he’s rather pleased too – hear about his Brightside experience in his own words below:
Get expert advice, make a plan and stick to it, and your smile can be transformed
Raul’s story shows that seeking out expert advice and taking action can truly transform your smile, not just aesthetically, but how well it lasts too.
If you’re thinking about transforming your smile this year, we’d love to help.
Call us on 020 8888 4401 or follow this link to book online – https://onlineappointment.carestack.uk/?dn=brightside&ln=1 – and take a step towards to a healthier, more confident smile in 2026.