All I want for Christmas is….this smile
Christmas is a time for brightness, and while it’s often confined to twinkly lights on trees, it applies to smiles too, and December’s Smile of the Month is a perfect way to wrap up 2025.

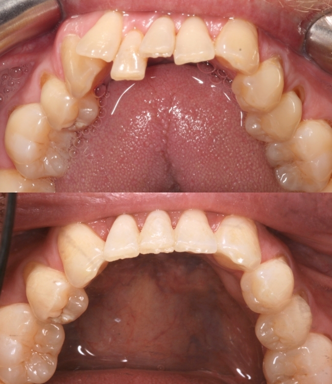
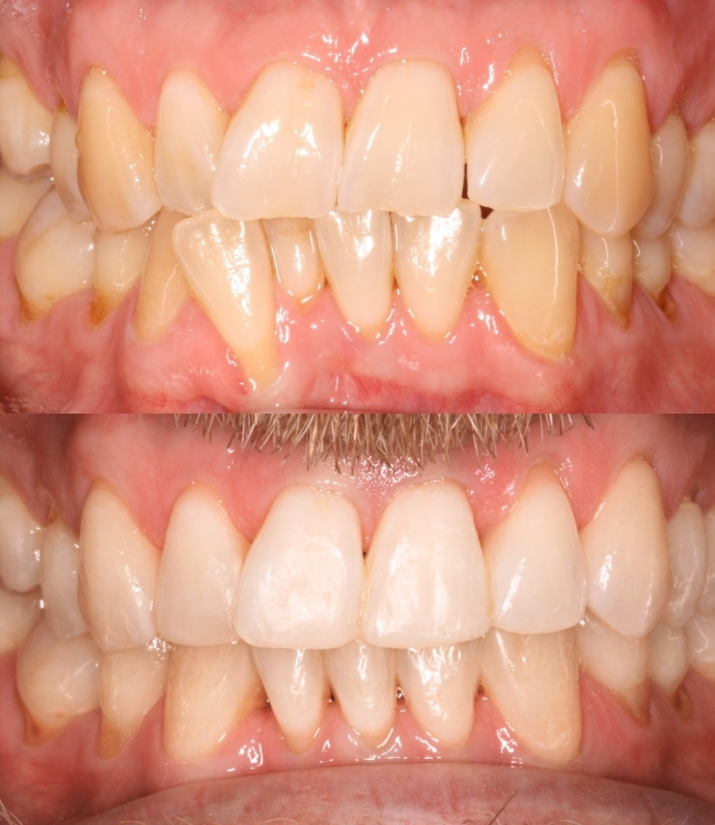
Jonathan came to us wanting to make a change – he had crowding in his lower front teeth and one tooth was pushed forward and twisted, making his smile look uneven.
Dr Paarth’s plan of action
After an initial consultation, Dr Paarth Darbar put together a plan that ticked all the boxes to help Jonathan achieve a straighter, brighter and more balanced smile:
1. Removing the crowded lower tooth – One twisted lower tooth was in the way, so removing it created the space needed to straighten the rest.
2. Straightening with Invisalign – With aligners worn as advised, the teeth gently moved into a much straighter, neater position.
3. Whitening for a brighter smile – Professional whitening to give a cleaner, brighter look.
4. Composite bonding to perfect the final look – Added small, precise touches to tidy edges and shapes, creating a smooth, natural finish.

The result? A bright, perfectly balanced smile.
As you can see for yourself, the end result is fantastic, and understandably, Jonathan was delighted – he’s now able to smile with confidence and easily keep his teeth clean, which is great for his gum health.
Watch him share his story in his own words below:
Careful combinations = fantastic results
Jonathan’s case demonstrates the importance of careful planning and how combining treatments can deliver the best results.
By removing the lower tooth first, we were able to create the space needed for a stable foundation.
Once that was set, Invisalign, whitening, and bonding worked together beautifully.

Ready for your own transformation?
If you’d love straighter teeth, a brighter smile, or a boost in confidence, we’re here to help, and the New Year is a great time to get started.
Call us on 020 8888 4401 or click here to book online and take a big step towards the smile you want in 2026.
Ketan