Smile of the month: a missing tooth no more
We’re winging our way through February, but before the mad March hare pops up, it’s time for another smile transformation, and February’s is one we’re especially proud of.
When your mouth just doesn’t feel right.
The smile hero this time is a lovely man called James.
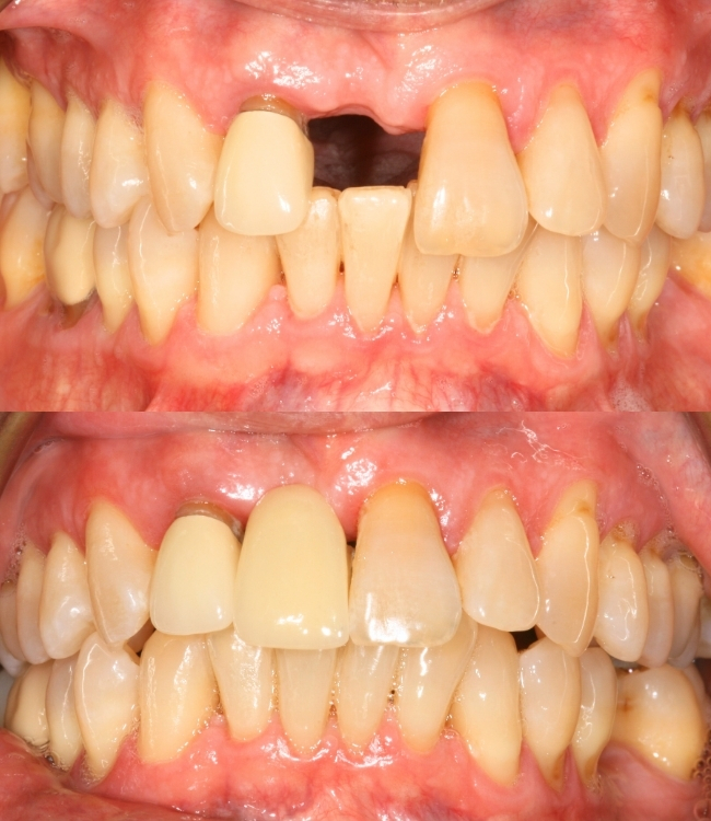
James came to Brightside looking for a long-term solution to a missing front tooth.
He’d previously been given a removable denture elsewhere, and while it filled the gap, he didn’t get on with it very well.
The denture could be uncomfortable, unreliable when talking or eating, and most importantly, it didn’t give him the confidence to smile freely.
He wanted something secure, natural, and fixed in place, and something he didn’t have to remove it each day.

Assessment first, then action
After a thorough consultation and assessment with Dr Paarth Darbar, we talked through every possible option, including keeping the denture, a fixed bridge, a dental implant, or a resin-retained bridge.
Taking into account the health of the neighbouring teeth and James’s wish to keep things as simple and minimally invasive as possible, a resin-retained bridge was chosen.
Bridges aren’t as well known as dentures or implants, but in the right circumstances, they can be very effective – the replacement tooth is bonded discreetly to the back of an adjacent tooth, meaning no drilling away healthy tooth structure. It stays firmly in place, feels secure, and is designed to look completely natural.

Five years on, the decision looks better every single day.
The new tooth was carefully colour-matched to blend seamlessly with James’s natural smile. There was no movement, no awkwardness when speaking, no concern while eating; James noticed the difference immediately.
Five years on, the bridge is still working beautifully. It remains strong, comfortable and natural-looking, and James says it simply feels like part of his own smile.
James’s story is a lovely reminder that the right treatment choice doesn’t have to be complicated. Sometimes a well-planned, minimally invasive solution is all that’s needed to restore comfort, confidence and pride in your smile.
If you’re living with a missing tooth or you’re unhappy about element of your smile and wondering what your options are, we’d be very happy to help.
Call us on 020 8888 4401 or book online here.
Ketan