Smile of the Month – Simple Change, Big Difference
Easter is in the rear view mirror (hope you were sensible with the chocolate!), and with spring in full swing, April’s Smile of the Month is all about refreshing your smile; a reminder of just how impactful subtle changes can be.
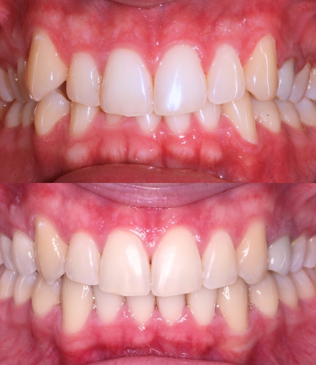
Patric’s Challenge – a protruding upper canine tooth
Patric came to us feeling self-conscious about one specific area of his smile – his upper canine tooth, which was slightly protruding.
While it may seem like a minor issue, even a single tooth out of position can affect how you feel when you smile, speak, or have photos taken.
Patric wanted a solution that would improve his smile in a natural-looking and subtle way.

The Treatment – Invisalign aligners and beyond
After discussing his goals and carrying out a full assessment, Dr Minal Shah created a straightforward plan to achieve the result he was looking for.
His treatment included:
- Invisalign aligners to gently move the teeth into a better position
- A fixed retainer wire to keep everything in place long-term
By keeping the plan simple and focused, we were able to achieve an effective result without unnecessary treatment.
The results speak for themselves

By the end of treatment, Patric’s smile was noticeably more balanced, with his canine tooth aligned naturally with the rest of his teeth.
Most importantly, Patric was absolutely delighted with the outcome – and that’s what matters to us.
Thinking about your own transformation?
Patric’s journey shows that you don’t always need major treatment to see a big difference.
If there’s something about your smile that’s been bothering you, even something small, we’d love to help you explore your options.
Call us on 020 8888 4401 or follow this link to book a consultation online:
Keep an eye out for an upcoming Invisalign offer – more details coming soon!
Ketan