Smile of the Month – Spring into a Straighter Smile
Welcome to March’s Smile of the Month, and this time we’re shining the spotlight on Ruben’s journey – an inspiring story that demonstrates that straightening isn’t just about appearance or cosmetics.
It’s about your long-term dental health too, and that’s just as important.
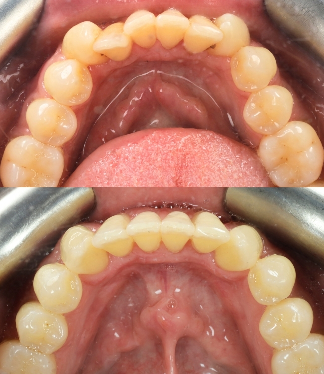
Crowding causing issues with cleanliness
Ruben came to us concerned about his teeth crowding and the impact it was having on keeping them clean.
When teeth overlap, brushing and flossing becomes less effective, increasing the risk of plaque build-up and gum problems over time.
Ruben wisely made the decision that a straighter smile would also be easier to maintain every day, and better for the long-term life of his teeth.

Clear plan = clear aligners
Following a full assessment and digital scan, we confirmed Invisalign would successfully correct the crowding, and Ruben began his treatment with a clear plan in place, including:
1. Straightening with Invisalign aligners
2. One set of refinement aligners to perfect the result
3. Professional whitening
4. Custom Vivera retainers to maintain his new smile
The process took 16 months in total, and by wearing his aligners as advised, treatment progressed smoothly.

Ending with alignment and easier access
By the end of treatment, Ruben’s teeth were beautifully aligned and noticeably easier to clean, creating a straighter, more confident smile while supporting better long-term oral health.
With whitening treatment completed and Vivera retainers in place, his results are fantastic, and importantly, are designed to last.
Concerned by crowding and inspired by Ruben?
This case shows how correcting crowding can improve not only how your smile looks, but how well it functions and how long it lasts too.
If you’re considering Invisalign, we’d love to help.
Call us on 020 8888 4401 or follow this link to book online: https://onlineappointment.carestack.uk/?dn=brightside&ln=1#/home